認知症の診断はどこで受ける?病院の選び方と受診の流れ
宮下拓磨
"※本記事の情報は2025年3月時点の制度・サービス内容に基づいています。最新の情報は各公的機関の公式サイトでご確認ください。個別の医療判断については、必ず主治医や専門家にご相談ください。
認知症 診断 病院で受けるべき理由と重要性

「『また同じこと聞くの?』とつい声を荒げてしまい、自己嫌悪に陥る日々。そんな経験、ありませんか?」認知症の診断を病院で受けるべきか悩んでいるあなたにとって、まずは診断の重要性を理解することが大切です。
認知症診断の目的とメリット
認知症の診断は、ご本人の症状の原因を明確にし、適切な治療や介護計画を立てるための第一歩です。診断を受けることで、何が起きているのかがわかり、介護の方向性が見えてきます。例えば、アルツハイマー型認知症なのか、血管性認知症なのかによって治療法やケアの方法が異なるため、正確な診断は不可欠です。
また、病院での診断は医師が医学的根拠に基づいて行うため、誤診のリスクが低く、安心して介護に取り組めます。あなたが感じている「もしかして認知症かもしれない」という不安を具体的な形にし、支援を受けやすくするメリットもあります。
早期診断がもたらす介護・治療への影響
「最近、物忘れが増えてきたけれど、まだ大丈夫だろうか」と様子を見ているうちに症状が進んでしまうことはよくあります。しかし、認知症は早期に診断し、適切な治療や生活環境の調整を始めることで、進行を遅らせたり、症状を軽減できる可能性があります。
たとえば、薬物療法や認知症予防のリハビリ、生活リズムの見直しなど、早期対応で介護負担を減らすことができます。早く診断を受けることで、あなた自身も将来の介護計画を立てやすくなり、心の準備ができます。
病院での診断と他の診断方法の違い
「認知症 診断 病院以外でもできるの?」と疑問に思う方もいるでしょう。市区町村の保健センターや地域包括支援センターでも簡易な認知機能検査を受けられますが、これらはあくまでスクリーニング(予備検査)です。
病院での診断は、専門医による問診や認知機能検査、画像診断、血液検査など、多角的な検査を組み合わせて行います。これにより、他の病気との鑑別や、症状の進行度を正確に把握できます。診断の信頼性と詳細さが違うため、疑いがある場合は必ず病院での診断をおすすめします。
認知症 診断 病院での具体的な診断プロセス

「病院でどんな検査をされるのか不安」という声は多くのご家族から聞かれます。ここでは、認知症の診断がどのように進むのか、具体的な流れをわかりやすくお伝えします。
初診時の問診と家族からの情報収集
初診では、ご本人だけでなく、介護をしているあなたやご家族からの詳しい情報が欠かせません。例えば、日常生活での困りごと、物忘れの頻度や内容、行動の変化などを医師に伝えます。
「お母さまが最近、夜中に何度も起きてしまい、眠れない」といった具体的なエピソードが診断に役立ちます。家族の視点は症状の把握に不可欠なので、メモを用意しておくと安心です。
認知機能検査の種類と内容
病院では、認知機能の状態を評価するためにいくつかの検査を行います。代表的なものに「長谷川式認知症評価尺度(HDS-R)」や「ミニメンタルステート検査(MMSE)」があります。
これらの検査は、記憶力や計算力、言語能力などをチェックし、どの程度認知機能が低下しているかを数値化します。検査は15分から30分程度で、医師や看護師が質問形式で進めます。緊張せず、リラックスして受けてください。
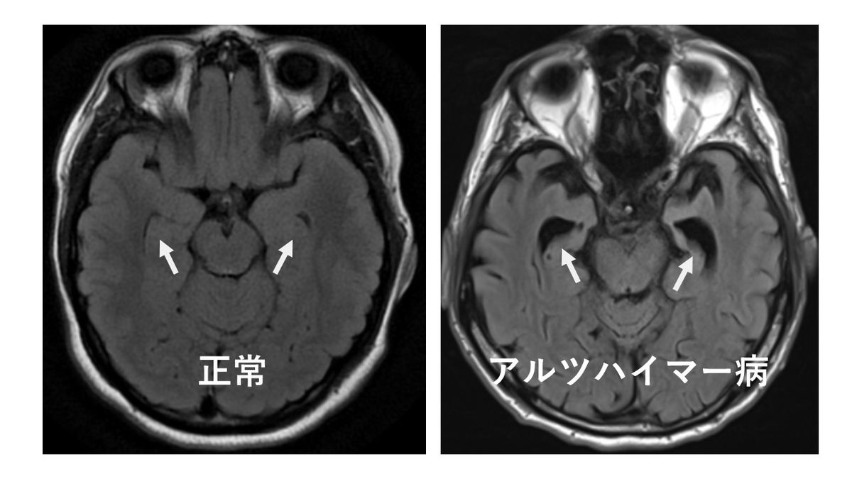
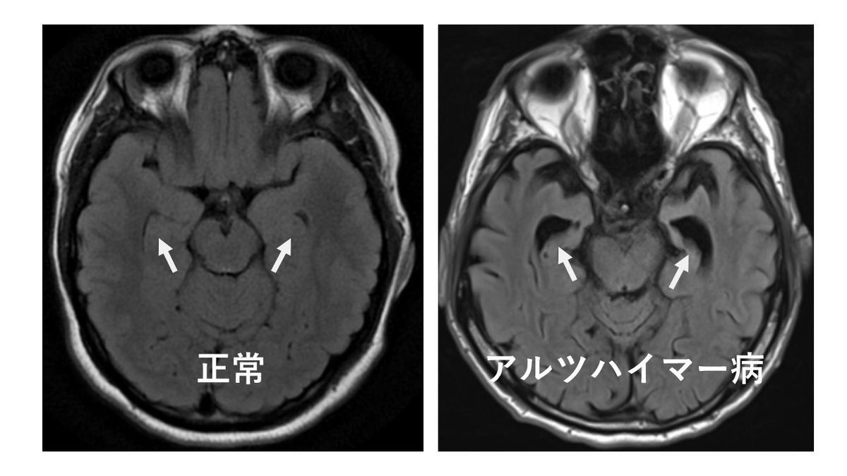
画像診断(MRI・CT)や血液検査の役割
認知症の原因を特定するために、脳の画像診断も行われます。MRIやCT検査で脳の萎縮や血管の状態を確認し、脳梗塞や脳腫瘍といった他の病気の有無を調べます。
また、血液検査では甲状腺機能やビタミン欠乏、感染症など認知症に似た症状を引き起こす可能性のある病気を除外します。これらの検査があるために、病院での診断はより正確で信頼できます。
診断結果の説明と今後の対応方針
検査終了後、医師が診断結果を詳しく説明します。「認知症の種類」「進行度」「今後の対処法」について、わかりやすく話してくれます。
不安な点や疑問は遠慮せずに質問しましょう。また、今後の治療方針や介護サービスの利用についても相談できます。診断後に地域包括支援センターやケアマネージャーとの連携も提案されることが多いです。
認知症 診断 病院選びのポイントと注意点

「どの病院で診断を受ければいいのか分からない」「専門医がいる病院ってどう探すの?」そんなあなたの悩みに寄り添い、病院選びのコツをお伝えします。
専門医がいる病院の見つけ方
認知症の診断には、認知症専門医や老年精神科医、神経内科医がいる病院を選ぶと安心です。市区町村の保健福祉課や地域包括支援センターに問い合わせると、近隣の専門医がいる医療機関を教えてもらえます。
また、日本認知症学会のホームページでは、認知症疾患医療センターの一覧が公開されています。ここでは専門的な診断や治療が受けられますので参考にしてください。
診断までの待ち時間と予約方法
認知症の診断は人気が高く、予約が取りづらい場合もあります。まずは電話で予約し、「認知症の疑いがあるため診察を希望」と伝えるとスムーズです。
病院によっては初診まで数週間から数ヶ月かかることもあるため、早めの予約をおすすめします。急ぎの場合は、かかりつけ医に相談し、紹介状を書いてもらうと優先的に受診できることがあります。
診断費用と保険適用の範囲
認知症の診断にかかる費用は、健康保険が適用されるため自己負担は3割程度(70歳以上は1〜2割)です。問診、認知機能検査、画像診断、血液検査すべて含めて、一般的には1万円〜3万円程度が目安です。
ただし、検査内容や病院によって異なるため、事前に費用について問い合わせておくと安心です。費用面の不安も、早めに相談窓口に話すことで軽減できます。
通いやすさやサポート体制の確認
認知症の診断後も通院が必要になるため、通いやすい場所かどうかも大切なポイントです。公共交通機関の利用や駐車場の有無、バリアフリー対応なども確認しましょう。
また、医療ソーシャルワーカーや看護師による相談体制が整っている病院は、診断後のケアや介護サービスの利用相談もしやすいためおすすめです。
認知症 診断 病院後のフォローアップと支援体制

「診断が終わったらどうすればいいの?」と途方に暮れることもあるかもしれません。診断後のフォローアップや支援体制について具体的にお伝えします。
診断後の治療とケアプラン作成
診断後は、医師が治療方針を決めます。薬物療法や生活習慣の改善、リハビリテーションなどが行われます。あなたのご本人の症状や生活状況に合わせて、ケアプランが作成されることも多いです。
ケアプランは介護サービスの利用計画で、ケアマネージャーが作成を支援します。地域包括支援センターに相談すると、ケアマネージャーの紹介やサービス利用の手続きがスムーズに進みます。
地域包括支援センターや介護サービスとの連携
診断後の生活を支えるために、地域包括支援センターは強い味方です。ここでは介護保険の申請支援や、介護サービス事業者の紹介、生活相談など幅広く対応しています。
不安や困りごとがあれば、まずはお住まいの市区町村の地域包括支援センターに電話してみてください。相談は無料で、あなたが一人で抱え込む必要はありません。
家族が知っておくべき支援制度と相談窓口
認知症の診断を受けたら、介護保険の申請や障害者手帳の取得、医療費助成制度などの利用が検討できます。これらの制度は支援の幅を広げ、あなたの負担を軽減してくれます。
具体的な利用方法や申請手続きは、地域包括支援センターや市区町村の高齢者福祉課で教えてもらえます。わからないことは一人で悩まず、専門窓口に相談してみてください。
認知症 診断 病院でのよくある不安とその解消法

「診断結果が怖い」「どんな準備をすればいいのか分からない」そんな不安を抱えているあなたに、よくある悩みとその解消法をお伝えします。
診断結果への不安と心理的サポート
診断結果を聞くと、「これからどうなるのか」「自分たちはどうすればいいのか」と不安や孤独感に襲われることがあります。そんな時は、一人で抱え込まず、医療機関の心理カウンセリングや地域の家族会に参加してみてください。
同じ経験をしている人と話すことで、気持ちが楽になることがあります。厚生労働省や認知症介護研究・研修センターの情報も参考にして、心理的なサポートを受ける選択肢を持ってください。
診断を受ける際の準備と心構え
診断時には、ご本人の普段の様子を具体的に伝えられるよう、日常の行動や変化をメモしておくと良いでしょう。また、質問されることが多いので、聞きたいことも事前にまとめておくと安心です。
「認知症 診断 病院で受けるのは怖い」と感じるかもしれませんが、病院はあなたとご本人の味方です。無理せず、ゆっくり話を聞いてもらうつもりで臨んでみてください。
診断後の生活変化に備えるポイント
診断後は生活リズムや介護体制が変わることが多く、戸惑いが生じやすいです。介護サービスの利用や住環境の見直し、家族間の役割分担など、少しずつ準備を進めていくことが大切です。
無理に全部を一度に変えようとせず、地域包括支援センターやケアマネージャーのサポートを受けながら、あなたのペースで進めてみてください。
よくある質問

認知症診断はどのくらい時間がかかりますか?
初診の問診や認知機能検査は30分〜1時間程度が一般的です。画像診断や血液検査は別日に行うこともあり、総合的な診断結果の説明までに数日から数週間かかる場合があります。
診断に必要な持ち物や準備はありますか?
保険証、服用中の薬のリスト、日常の様子がわかるメモや家族の連絡先を用意するとスムーズです。特に家族からの情報が重要なので、付き添いが可能なら一緒に行くことをおすすめします。
認知症と診断された後、すぐに治療は始まりますか?
診断結果によりますが、多くの場合は生活習慣の改善や薬物療法を含めた治療計画が立てられ、早期に治療やケアが始まります。医師と相談しながら無理のない範囲で進めていきます。
診断を受ける病院はどうやって選べば良いですか?
専門医がいる認知症疾患医療センターや老年精神科、神経内科のある病院がおすすめです。地域包括支援センターやかかりつけ医に相談して紹介を受ける方法もあります。
認知症の診断は何歳から受けるべきですか?
明確な年齢制限はありませんが、物忘れや行動の変化が気になり始めたら早めに受診を検討してください。特に60歳以上の方で症状がある場合は、早期診断が介護負担軽減につながります。
参考リンク(公的機関・一次情報)
Tomoriで始める新しい見守りのかたち
Tomoriの特徴と認知症見守りへの活用法
夜中のひとり歩きが心配で眠れない——そんなあなたに、24時間AI音声見守りデバイスTomori(ともり)という選択肢があります。Tomoriはご本人の話しかけに穏やかに応え、同じ質問にも何度でも対応。服薬リマインドや日常の声かけも代行し、介護者の心理的負担を軽減します。
病院での診断後にTomoriができるサポート
認知症と診断された後、日々の見守りや声かけが必要になっても、Tomoriがあなたの代わりに寄り添います。特に同居介護の娘さんや遠距離介護の息子さんにとって、安心感が大きく違います。
遠隔見守りで家族の安心を支える仕組み
TomoriはSIM内蔵でWi-Fi不要。スマホのLINEを使って離れて暮らすご家族も遠隔で見守れます。仕事中や外出時も、家族の様子を気にかける負担を軽減できるのが魅力です。
導入の流れとお問い合わせ方法
Tomoriは初期費用82,490円(税込)、月額6,490円(税込)で利用可能。30日間の返金保証もあるため、まずは公式サイト(https://tomori.care)で詳細を確認し、問い合わせてみてはいかがでしょうか。
この記事では、認知症の診断を病院で受ける理由や具体的な診断の流れ、病院選びのポイントから診断後の支援体制まで、あなたの不安や疑問に寄り添いながら解説しました。介護の負担を軽減するためにも、早めの診断と適切な支援を受けることが大切です。
また、認知症の見守りに役立つ最新のIoTデバイスとしてTomoriもご紹介しました。詳しくは公式サイトや関連記事の「認知症 初期症状 チェックリストで早期発見と対策を始める方法」や「遠距離介護の不安を減らす方法|離れていても安心できる5つの対策」も参考にしてみてください。
あなたとご家族が少しでも安心して介護に向き合えることを願っています。
こんな認知症見守りサービスを
お探しではありませんか?
- 24時間AIが声かけ・見守りを代行してくれる
- SIM内蔵でWi-Fiや設置工事が不要
- 30日間の返金保証で安心してお試しできる
現在、上記のようなサービスをお探しでしたら、ぜひ私どもの「ともりAI(Tomori/トモリ)」をご検討ください。ともりAIはAI音声技術を活用した認知症見守りデバイスで、 離れて暮らすご家族に代わって24時間の声かけと見守りを行います。
ともりAIについて詳しくはこちら
AUTHOR
宮下拓磨
ReMENTIA株式会社CEO
ReMENTIA株式会社代表取締役 / 北海道大学情報科学院在籍 2021年に初任者研修を取得し, 有料老人ホームでヘルパーとして認知症介護に従事した経験がある. 認知症になっても変わらずに生活できる社会を目指してReMENTIA株式会社を創業. 2024年に未踏IT人材育成発掘事業に採択され認知症支援のためのAIを開発するなど, 現場に根ざした研究開発を得意としている.